بلاگ

توصیه برای خمیردندان حاوی فلوراید

توصیه های کلی برای استفاده از خمیردندان حاوی فلوراید

– از خمیردندانهای حاوی فلوراید معتبر همراه مسواک حداقل 2 بار در روز ( یکبار قبل از خواب و یکبار بعد از غذا در طول روز) استفاده شود.– مقدار کمی آب برای شستن باقیمانده خمیردندان استفاده شود.– برای کودکان زیر 6 سال، به دلیل …

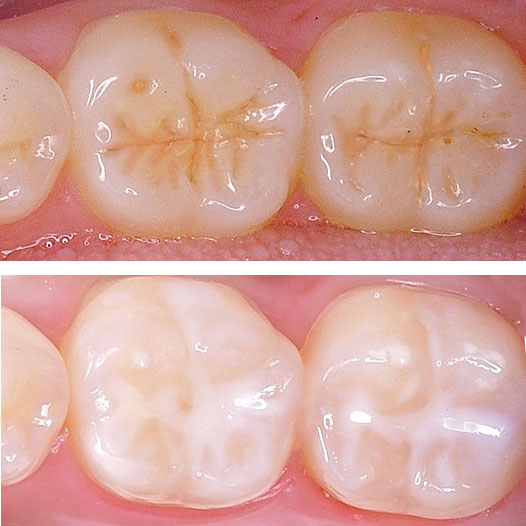
شیارپوش دندان

استفاده از شیارپوش

 شیارهای اولین و دومین دندانهای آسیای دائم به خصوص در سالهای اول رویش (6 سالگی و 12سالگی) در معرض حمله بیشتر پوسیدگی سطح اکلوزال نسبت به سایر دندانها هستند. این دندانها نیاز به توجه دقیق به همراه کاربرد فلوراید و فیشورسیلنت (شیارپوش) برای …

مراحل پوسیدگی دندان

مراحل ایجاد و پیشرفت پوسیدگی

برای ایجاد پوسیدگی این که کودک (و یا بزرگسال) چه چیزی می خورد، به تنهایی مهم نیست، بلکه نحوه و تکرار مصرف نیز اهمیت دارد. یعنی اینکه فرد به چه میزان مواد قندی دریافت می کند به تنهایی اهمیت ندارد بلکه تعداد دفعاتی که مواد غذایی وارد دهان می…

عادات تنفسی

عادات تنفسی

الگوی تنفسی غلط مثلا تنفس از دهان به جای بینی، موقعیت سر، فک و زبان را تغییر داده و در صورت مزمن شدن، رشد فک و موقعیت دندانها را تحت تأثیر قرار می دهد.

مراجعه به دندانپزشک

موارد ارجاع به دندانپزشك

تمام کودکان حدود یکسال برای اولین ویزیت دندانپزشکی و بررسی وضعیت تکاملی دهان و دندان و مشاوره با دندانپزشک. کودکانی که در مراحل اولیه پوسیدگی هستند ونقاط یا خطوط سفیدرنگ روی دندانهایشان دیده می شود (برای پیشگیری از پیشرفت پوسیدگی.
سندروم شیشه شیر

سندرم شیشه شیر یا پوسیدگی زودرس دندان کودکان

سندرم شیشه شیر که با پوسیدگی وسیع دندان های جلویی فک بالا و اولین آسیاهای شیری نمایان می گردد. معمولاً ظرف مدت کوتاهی پس از رویش آنها ایجاد می شود. از علل اصلی این نوع پوسیدگی ها تغذیه کودک با شیشه شیر یا شیشه محتوی آب قند هنگام خواب می با…

تغذیه و نقش آن در پوسیدگی دندان

تغذیه و نقش آن در پوسیدگی

عادات غذایي در زمان کودکي شکل مي گیرند و بر سلامت عمومي و سلامت دهان بسیار موثر مي باشند، مشکل مصرف مواد قندي به میزان زیاد، معمولاً ازهمان اوائل دوران کودکي با معرفي غذاها و نوشیدني هاي حاوي مواد قندي در ماه هاي اول زندگي شروع مي شود. مدا…

مراقبت دهان و دندان برای زنان باردار

مراقبت دهان و دندان زنان باردار

مادران باردار در این دوران به دلیل تغییرات هورمونی و وجود جنین، به مراقبت های خاصی نیاز دارند. مراقبت های دندانپزشکی به دو گروه کنترل پوسیدگی و کنترل بیماری های لثه تقسیم میشوند. کنترل پوسیدگی دندان در دوران بارداری: هنوز هم بسیاری از زنان…

بهداشت دهان ودندان زنان در سنین باروری

بهداشت دهان ودندان زنان در سنین باروری

در دوران بلوغ و عادت ماهانه زنان، تغییراتی هورمونی در بدن ایجاد می شود و به علت این تغییرات، شرایط برای ایجاد بیماری لثه مناسبتر می شود. بنابراین باید به زنان آموزش داد که بیشتر مراقب لثه و دندانهای خود باشند. ضمناً در خانمهایی که از قرصها…